Premium Mammography
Option. 3D TOMO
아프지 않게, 빠르게, 안전하게 프리미엄 맘모엑스레이 시스템
Premium Mammography
Option. 3D TOMO
아프지 않게, 빠르게, 안전하게 프리미엄 맘모엑스레이 시스템
HESTIA
Digital Breast Tomosynthesis Mammography
외산 Tube 및 외산 Detector 를 탑재하여 균일한 방사선 발생으로 고품질 영상을 획득하며 치밀 유방 검사나 저선량 촬영에서 우수한 성능을 나타냅니다.
DBT (Digital Breast Tomosynthesis)
Tomosynthesis
- 엑스선 튜브가 유방 위에서 움직이며, 다양한 각도에서 대조도 높은 고화질, 고해상도 영상을 촬영합니다.
- 촬영한 사진들을 3차원으로 재구성하여, 병변의 위치와 상태에 대해 정확한 정보를 제공합니다.
Tomosynthesis structure mammography
Synthesized 2D Image
SYNTHESIZED 2D 기능
별도의 2D 촬영 없이 Tomo 촬영만으로 2D 영상 생성 가능한 SYNTHESIZED 2D 기능을 지원합니다.
PATIENT CENTERED CARE
음성/시각 가이드
피검자는 HESTIA가 계속 제공하는 음성 가이드와 지시 화면으로
현재 검진단계를 알 수 있습니다.
SMART COMPRESSION CONTROl
Smart Compression Control을 통해 환자의 고통을 최소화하고 견고한 유방 압박 기능을 지원합니다.
자동 압박 해제 기능
피검자의 안전을 위해 자동 압박 해제 기능을 지원합니다.
LED 상태 표시기
HESTIA 측면의 LED가 색으로 장비의 상태를 실시간으로 오퍼레이터에게 보여줍니다.
USER FRIENDLY OPERATION
피검자의 안전을 위해 Operation panel에 비상 정지 스위치 기능을 추가하였습니다.
4버튼 풋 스위치
유방 압박과 겐트리의 상하 이동이 직관적으로 이뤄질 수 있도록 보기 쉽게 디자인하였습니다.
UPGRADABLE
2D에 Tomosynthesis(유방 단층술)로의 업그레이드
2D만 촬영할 수 있는 L(Large) 타입에서 3D 촬영 가능한 T(Tomo) 타입으로 H/W 추가 설치나 시스템 교체 없이 간단한 소프트웨어 설치만으로 업그레이드 가능합니다.
전용소프트웨어
전용 콘솔 소프트웨어 VENUS
- Mammo 임상 워크플로우에 최적화된 강력한 Viewer
- HESTIA에 최적화된 영상 획득-처리 워크스테이션
- DICOM 3.0을 지원하여 PACS 연동 구현
- 직관적이고 시인성 높은 UI를 통해 사용 편의성 제공
HESTIA 특징
TUBE
외산 Tube 사용
Maximum Tube Assembly Heat Content
8kW 출력
Detector
외산 Detector 사용
Dual Filter
그리드 비율 5:1
8 Sec
압박 두께 5~280mm (275mm)
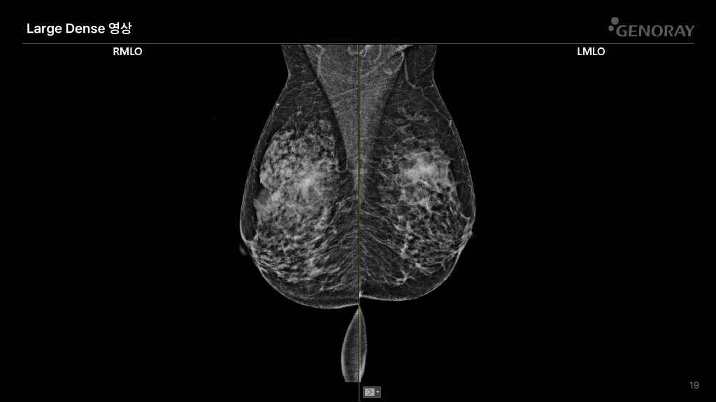
CLINICAL IMAGES
오랜 경험을 통해 축적된 노하우로 진단영상을 제공합니다.






- 제품 디자인 및 사양은 제품 성능 향상을 위해 사전 예고 없이 변경될 수 있습니다.
- 이 제품은 ‘의료기기’이며, ‘사용상의 주의사항’과 ‘사용방법’을 잘 읽고 사용하십시오.

